2024年5月23日,武汉大学病毒学国家重点实验室周海兵等在国际学术期刊Journal of Medicinal Chemistry在线发表了题为“Novel Acyl Thiourea based Hydrophobic Tagging Degraders Exert Potent Anti-influenza Activity through Two Distinct Endonuclease Polymerase Acidic Targeted Degradation Pathways” 的研究工作。该研究利用靶向蛋白质降解(Targeted Protein Degradation, TPD)技术,首次将疏水标签(Hydrophobic Tagging, HyT)引入到病毒蛋白降解剂的设计中,合成得到一类基于酰基硫脲骨架的新型流感病毒RdRp酸性蛋白(PA)降解剂。所得化合物能显著降解流感病毒PA并抑制病毒复制,且对多种流感病毒亚型具有较好的抑制效果,为抗流感药物的研发提供了新思路与新方法。

全球季节性流感暴发对人类的健康安全带来了巨大挑战,病毒快速突变和耐药问题使得我们迫切需要具有新颖结构骨架和作用机制的抗流感病毒药物。靶向蛋白质降解技术由于其优越的亚催化性能及克服药物耐药的潜力,相应降解剂药物则可能会克服传统抗病毒治疗的局限性。
研究团队基于此前得到的酰基硫脲类药效骨架,设计、合成了一系列具有不同连接链和疏水基团的降解剂,其中化合物19b(连接链为烷基链,疏水基团为Boc2−(L)−赖氨酸)对A/WSN/33/H1N1表现出强效的抑制活性(EC50 = 0.015 μM),且能以时间、剂量依赖方式选择性地降解靶蛋白聚合酶酸性蛋PA(图1,DC50 = 0.06 μM),对RdRp的另外两个亚基PB1和PB2没有影响。19b对甲型流感病毒、乙型流感病毒和肠道病毒均具有明显的抑制活性,值得作为广谱抗病毒药物进一步研究。MST实验也进一步验证了PA为19b的靶点,并且Boc2−(L)−赖氨酸增强了19b对PA的结合作用。

图1. 19b的抗病毒活性与靶向PA降解能力。(A) 19b对PA的降解活性。(B, C) MST实验验证19b与PA的亲和力。
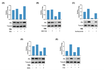
机制实验表明,化合物19b通过蛋白酶体介导的蛋白水解和自噬-溶酶体双重途径诱导PA蛋白降解。

图2. 19b诱导PA降解的机制研究。RA (A), MG132 (B), 硼替佐米 (C), 3MA (D)和CQ (E)对19b诱导PA降解的影响。
蛋白组学结果显示,19b在降解PA的同时能够明显上调细胞自噬通路中的相关蛋白,进一步验证了19b能够通过多种机制来诱导PA的降解。

图3. 19b通过多种途径诱导PA降解与蛋白组学分析。(A) 19b诱导PA降解可能的通路。(B) 19b诱导PA降解的蛋白组学分析
综上,该研究工作首次将疏水标签技术应用于靶向降解病毒蛋白的策略,基于酰基硫脲骨架设计的聚合酶酸性蛋白降解剂具有良好的抗病毒效果及PA降解能力,为新型抗流感药物的研发提供了新思路与候选化合物。
武汉大学病毒学国家重点实验室周海兵教授、吴叔文副教授和蓝柯教授为该文共同通讯作者;研究生麻笑雨,王雪云、陈飞飞和邹问汀为论文共同第一作者。该研究得到国家自然科学基金和教育部免疫与代谢前沿科学中心的支持。
论文链接:https://doi.org/10.1021/acs.jmedchem.4c00131